VIST
A
اخبار مهم
سیاسی
اقتصادی
ورزشی
اجتماعی
فرهنگی
بینالمللی
سلامت
علمی
فناوری
عکس
فیلم
استانها
گرافیک
وبگردی
استخدام
اینفوگرافیک
سبک زندگی
آگهی
اخبار مهم
سیاسی
اقتصادی
ورزشی
اجتماعی
فرهنگی
بینالمللی
سلامت
علمی
آگهی
فناوری
عکس
فیلم
استانها
گرافیک
وبگردی
استخدام
اینفوگرافیک
سبک زندگی
VIST
A
یکشنبه ۱۶ فروردین ۱۴۰۵ -
5 April 2026
VIST
A
اخبار مهم
سیاسی
اقتصادی
ورزشی
اجتماعی
فرهنگی
بینالمللی
سلامت
علمی
فناوری
عکس
فیلم
استانها
گرافیک
وبگردی
استخدام
اینفوگرافیک
سبک زندگی
آگهی
اخبار مهم
سیاسی
اقتصادی
ورزشی
اجتماعی
فرهنگی
بینالمللی
سلامت
علمی
آگهی
فناوری
عکس
فیلم
استانها
گرافیک
وبگردی
استخدام
اینفوگرافیک
سبک زندگی
VIST
A
مسواک
مسواک زدن
دندان
بهداشت دهان و دندان
بوی بد دهان
سلامت دهان و دندان
سکته مغزی
پوسیدگی دندان
نخ دندان
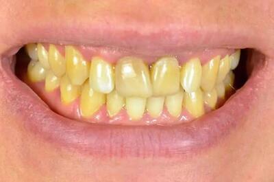
۱۴۰۵/۰۱/۰۵
/ شهرآرانیوز
نقش پررنگ غذاهای نشاستهای در پوسیدگی دندان| برخی از والدین نسبت پیامدهای اسنک شور آگاهی ندارند
به گفته برخی از دندانپزشکان، غذاهای نشاستهای میتواند به طور مستقیم در ایجاد پوسیدگی نقش داشته باشد.
پوسیدگی
دندان
پوسیدگی
دندان
غذاها
مسواک
۱۴۰۴/۱۲/۱۷
/ سایت پارسینه
بعد از خوردن این خوراکی ها مسواک نزنید|
در ادامه برای شما از خوراکیهایی میگوییم که بعد از خوردن، نیازی به مسواک زدن ندارد و بهتر است که روی دندان باقی بمانند.
خوردن
خوراکی
خوردن
خوراکی
مسواک
مسواک زدن
۱۴۰۴/۱۲/۰۹
/ سایت پارسینه
دندانپزشکان هشدار میدهند: پنج اشتباه رایج در مراقبت از دندانها
پوسیدگی دندان با وجود مسواک زدن همچنان شایع است و پیشگیری مؤثر، نیازمند رویکردی جامع و شخصیسازیشده به سلامت دهان است.
دندان پزشکی
پوسیدگی دندادن
دندان پزشکی
پوسیدگی دندادن
۱۴۰۴/۱۲/۰۹
/ سایت فرتاک
مسواک را دقیقا چند وقت یک بار عوض کنیم؟
بریمروز فریستون، استاد میکروبیولوژی در دانشگاه لستر بریتانیا، به بحث درباره زمان مناسب تعویض مسواک پایان داد.
مسواک
مسواک
۱۴۰۴/۱۲/۰۸
/ سایت آخرین خبر
مسواک زدن بعد از هر وعده غذایی؛ مزایا و خطرات
باشگاه خبرنگاران/در حالی که برخی معتقدند مسواک زدن بعد از هر وعده غذایی بهترین راه برای حفظ سلامت دهان و دندان است، متخصصان هشدار میدهند که ممکن است خطراتی نیز به همراه داشته باشد. بسیاری معتقدند که مسواک زدن بعد از هر وعده غذایی بهترین راه برای حفظ سلامت دهان و دندان است. در حالی که این عادت مزایا
مسواک زدن
بهداشت دهان و دندان
مسواک زدن
بهداشت دهان و دندان
۱۴۰۴/۱۲/۰۸
/ سایت آخرین خبر
مسواک زدن بعد از هر وعده غذایی: مزایا و خطرات
باشگاه خبرنگاران/در حالی که برخی معتقدند مسواک زدن بعد از هر وعده غذایی بهترین راه برای حفظ سلامت دهان و دندان است، متخصصان هشدار میدهند که ممکن است خطراتی نیز به همراه داشته باشد. بسیاری معتقدند که مسواک زدن بعد از هر وعده غذایی بهترین راه برای حفظ سلامت دهان و دندان است. در حالی که این عادت مزایا
مسواک زدن
بهداشت دهان و دندان
مسواک زدن
بهداشت دهان و دندان
۱۴۰۴/۱۲/۰۷
/ سایت فرارو
پنج اشتباه رایج در مراقبت از دندانها
پوسیدگی دندان با وجود مسواک زدن همچنان شایع است و پیشگیری مؤثر، نیازمند رویکردی جامع و شخصیسازیشده به سلامت دهان است.
سلامت
دندان
سلامت
دندان
۱۴۰۴/۱۲/۰۷
/ سایت خبرآنلاین
پنج اشتباه رایج در مراقبت از دندانها
پوسیدگی دندان با وجود مسواک زدن همچنان شایع است و پیشگیری مؤثر، نیازمند رویکردی جامع و شخصیسازیشده به سلامت دهان است.
تغذیه
مواد غذایی
تغذیه
مواد غذایی
مولتیویتامین
۱۴۰۴/۱۲/۰۷
/ سایت سلامت نیوز
روشی ساده که زوال عقل را به تعویق میاندازد
مسواکزدن به شیوههای جدید میتواند در پیشگیری از زوال عقل مؤثر باشد؟ به این منظور میتوانید هنگام مسواکزدن 3کار ساده انجام دهید.
زوال عقل
زوال عقل
۱۴۰۴/۱۲/۰۷
/ سایت نورنیوز
چرا دندانها «حساس» میشوند؟
یک متخصص دندانپزشکی ترمیمی با اشاره به شیوع حساسیت دندانی در میان بزرگسالان گفت: احساس درد ناگهانی و تیرکشنده هنگام نوشیدن آب سرد، چای داغ یا خوردن بستنی، نشانهای از بروز حساسیت دندانی است که نباید نادیده گرفته شود.
دندان
مسواک زدن
دندان
مسواک زدن
حساسیت دندان
۱۴۰۴/۱۲/۰۶
/ سایت باشگاه خبرنگاران
مسواک زدن بعد از هر وعده غذایی: مزایا و خطرات
در حالی که برخی معتقدند مسواک زدن بعد از هر وعده غذایی بهترین راه برای حفظ سلامت دهان و دندان است، متخصصان هشدار میدهند که ممکن است خطراتی نیز به همراه داشته باشد.
مسواک زدن
مسواک
مسواک زدن
مسواک
بهداشت دهان و دندان
۱۴۰۴/۱۲/۰۶
/ سایت دلگرم
ساخت پادری و قالیچه بدون قلاب بافی با یک مسواک
یادگیری روشی ساده و خلاقانه برای درست کردن پادری، پادری رومیزی و فرش های تزئینی تنها با استفاده از یک مسواک.
پادری
قالیچه
پادری
قالیچه
مسواک
هنر دستی
۱۴۰۴/۱۲/۰۶
/ سایت رکنا
ریزپلاستیکهای پنهان در محصولات بهداشت دهان: آنچه باید بدانید
رکنا: مطالعات اخیر نگرانیهایی را درباره وجود ریزپلاستیکها در محصولات بهداشتی دهان و دندان، از جمله مسواکها، نخ دندانها و خمیردندانها ایجاد کردهاند. این ذرات ریز میتوانند در طول استفاده از این محصولات آزاد شده و به محیط زیست و سلامت انسانها وارد شوند.
تحقیقات پزشکی
بهداشت دهان و دندان
تحقیقات پزشکی
بهداشت دهان و دندان
ریزپلاستیک
۱۴۰۴/۱۲/۰۵
/ سایت فرتاک
راهکار رفع بوی بد دهان در ایام روزهداری
استاد گروه سلامت دهان و دندانپزشکی اجتماعی دانشگاه علوم پزشکی تهران با تأکید بر اهمیت مسواک، نخ دندان و مصرف کافی آب بین افطار تا سحر، راهکارهایی برای پیشگیری از بوی بد دهان ارائه کرد.
مسواک
بوی بد دهان
مسواک
بوی بد دهان
نخ دندان
۱۴۰۴/۱۲/۰۵
/ سایت آخرین خبر
احکام مسواک زدن و استفاده از نخ و خلال دندان در ماه رمضان
فارس/ شاید برای شما هم این سوال پیش آمده باشد که حکم مسواک زدن و یا استفاده از نخ و خلال دندان در ماه رمضان چیست؟ اینجا به بررسی احکام مسواک زدن در ماه این مبارک و دیدگاه فقها نسبت به این موضوع پرداخته ایم. در ماه رمضان خوردن و آشامیدن برای روزه دار ممنوع است، اما این به معنای ممنوع بودن شستشوی داخل
۱۴۰۴/۱۲/۰۴
/ سایت فرتاک
روزه داران عزیز این مطلب را حتما بخوانند!
استاد گروه سلامت دهان و دندانپزشکی اجتماعی دانشگاه علوم پزشکی تهران با تأکید بر اهمیت مسواک، نخ دندان و مصرف کافی آب بین افطار تا سحر، راهکارهایی برای پیشگیری از بوی بد دهان ارائه کرد.
روزه داری
روزه
روزه داری
روزه
۱۴۰۴/۱۲/۰۴
/ سایت رکنا
بهترین راه حل ها برای رفع بوی دهان حین روزه داری
رکنا: راهکارهای موثر رفع بوی بد دهان در روزه داری؛ رعایت بهداشت دهان، استفاده از مسواک و نخ دندان و مصرف کافی آب بین افطار و سحر می تواند به پیشگیری از این مشکل کمک کند.
ماه رمضان
بوی بد دهان
ماه رمضان
بوی بد دهان
روزه داران
۱۴۰۴/۱۲/۰۳
/ سایت آخرین خبر
راهکار رفع بوی بد دهان در ایام روزهداری
مهر/استاد گروه سلامت دهان و دندانپزشکی اجتماعی دانشگاه علوم پزشکی تهران با تأکید بر اهمیت مسواک، نخ دندان و مصرف کافی آب بین افطار تا سحر، راهکارهایی برای پیشگیری از بوی بد دهان ارائه کرد. رضا یزدانی استاد گروه سلامت دهان و دندانپزشکی اجتماعی دانشگاه علوم پزشکی تهران با اشاره به اینکه یکی از شایعتر
بوی بد دهان
روزه داری
بوی بد دهان
روزه داری
۱۴۰۴/۱۲/۰۳
/ سایت آفتاب نیوز
راهکار رفع بوی بد دهان در ایام روزهداری
استاد گروه سلامت دهان و دندانپزشکی اجتماعی دانشگاه علوم پزشکی تهران با تأکید بر اهمیت مسواک، نخ دندان و مصرف کافی آب بین افطار تا سحر، راهکارهایی برای پیشگیری از بوی بد دهان ارائه کرد.
بوی بد دهان
بوی بد دهان
۱۴۰۴/۱۲/۰۳
/ سایت درلحظه
بوی بد دهان در ماه رمضان؛ چرا ایجاد میشود و چگونه میتوان آن را کنترل کرد؟
مروری کوتاه بر خبر کاهش جریان بزاق در طول روزهداری، دلیل اصلی بوی بد دهان است. مسواک زدن پس از سحری، استفاده از نخ دندان و تمیز کردن زبان میتواند کمک کند. نوشیدن آب کافی بین افطار تا سحر و پرهیز از نوشیدنیهای ادرارآور مانند قهوه توصیه میشود. بوی بد دهان یکی از مشکلات شایع
۱۴۰۴/۱۲/۰۳
/ سایت اندیشه قرن
راهکاری ساده برای رفع بوی بد دهان در ماه رمضان / نکات بهداشتی و تغذیهای موثر / روشهای تضمینی برای تازه ماندن نفس در طول روزهداری | اندیشه قرن
استاد گروه سلامت دهان و دندانپزشکی اجتماعی دانشگاه علوم پزشکی تهران با تأکید بر اهمیت مسواک، نخ دندان و مصرف کافی آب بین افطار تا سحر، راهکارهایی برای پیشگیری از بوی بد دهان ارائه کرد.
۱۴۰۴/۱۲/۰۳
/ سایت اندیشه معاصر
راهکاری ساده برای رفع بوی بد دهان در ماه رمضان / نکات بهداشتی و تغذیهای موثر / روشهای تضمینی برای تازه ماندن نفس در طول روزهداری
استاد گروه سلامت دهان و دندانپزشکی اجتماعی دانشگاه علوم پزشکی تهران با تأکید بر اهمیت مسواک، نخ دندان و مصرف کافی آب بین افطار تا سحر، راهکارهایی برای پیشگیری از بوی بد دهان ارائه کرد.
۱۴۰۴/۱۲/۰۳
/ سایت درلحظه
چگونه در ماه رمضان از بوی بد دهان جلوگیری کنیم؟
مروری کوتاه بر خبر رعایت دقیق بهداشت دهان و دندان بین افطار تا سحر استفاده ضروری از نخ دندان برای تمیز کردن سطوح بین دندانی تمیز کردن سطح زبان برای جلوگیری از تجمع مواد غذایی پرهیز از مصرف چای پررنگ و قهوه در سحر نوشیدن آب کافی برای مقابله با خشکی دهان مسواک زدن بدون
۱۴۰۴/۱۲/۰۳
/ سایت نورنیوز
با این راه از شرّ بوی بد دهان در ایام روزهداری خلاص شوید
استاد گروه سلامت دهان و دندانپزشکی اجتماعی دانشگاه علوم پزشکی تهران با تأکید بر اهمیت مسواک، نخ دندان و مصرف کافی آب بین افطار تا سحر، راهکارهایی برای پیشگیری از بوی بد دهان ارائه کرد.
ماه رمضان
بوی بد دهان
ماه رمضان
بوی بد دهان
راهکار رفع بوی بد دهان
۱۴۰۴/۱۲/۰۲
/ شهرآرانیوز
راهکار رفع بوی بد دهان در ایام روزهداری
استاد گروه سلامت دهان و دندانپزشکی اجتماعی دانشگاه علوم پزشکی تهران با تأکید بر اهمیت مسواک، نخ دندان و مصرف کافی آب بین افطار تا سحر، راهکارهایی برای پیشگیری از بوی بد دهان ارائه کرد.
۱۴۰۴/۱۲/۰۲
/ سایت دلگرم
۱۴ ترفند با مسواک برای خانوم های خانه دار!
ترفند های کوتاه اما کاربردی برای خانوم های خانه دار؛ 14 ترفند کوتاه و کاربردی با استفاده از مسواک برای خانوم های خانه دار.
مسواک
ترفند
مسواک
ترفند
خانه داری
۱۴۰۴/۱۲/۰۲
/ سایت پارسینه
راه کاری برای رفع بوی بد دهان در ماه رمضان
استاد گروه سلامت دهان و دندانپزشکی اجتماعی دانشگاه علوم پزشکی تهران با تأکید بر اهمیت مسواک، نخ دندان و مصرف کافی آب بین افطار تا سحر، راهکارهایی برای پیشگیری از بوی بد دهان ارائه کرد.
بوی دهان
بوی دهان
۱۴۰۴/۱۲/۰۲
/ سایت سلام نو
رفع بوی بد دهان در ایام روزهداری با چند ترفند ساده - سلام نو
استاد گروه سلامت دهان و دندانپزشکی اجتماعی دانشگاه علوم پزشکی تهران با تأکید بر اهمیت مسواک، نخ دندان و مصرف کافی آب بین افطار تا سحر، راهکارهایی برای پیشگیری از بوی بد دهان ارائه کرد.
رفع بوی بد دهان
روزهداری
رفع بوی بد دهان
روزهداری
۱۴۰۴/۱۲/۰۲
/ سایت جماران
راهکار رفع بوی بد دهان در ایام روزهداری
استاد گروه سلامت دهان و دندانپزشکی اجتماعی دانشگاه علوم پزشکی تهران با تأکید بر اهمیت مسواک، نخ دندان و مصرف کافی آب بین افطار تا سحر، راهکارهایی برای پیشگیری از بوی بد دهان ارائه کرد.
بوی بد دهان
بوی بد دهان
۱۴۰۴/۱۲/۰۲
/ سایت خبرآنلاین
راهکار رفع بوی بد دهان در ایام روزهداری
استاد گروه سلامت دهان و دندانپزشکی اجتماعی دانشگاه علوم پزشکی تهران با تأکید بر اهمیت مسواک، نخ دندان و مصرف کافی آب بین افطار تا سحر، راهکارهایی برای پیشگیری از بوی بد دهان ارائه کرد.
بهداشت دهان و دندان
ماه رمضان
بهداشت دهان و دندان
ماه رمضان
مواد غذایی
۱۴۰۴/۱۲/۰۲
/ خبرگزاری دانشجو
راهکار رفع بوی بد دهان در ایام روزهداری
استاد گروه سلامت دهان و دندانپزشکی اجتماعی دانشگاه علوم پزشکی تهران با تأکید بر اهمیت مسواک، نخ دندان و مصرف کافی آب بین افطار تا سحر، راهکارهایی برای پیشگیری از بوی بد دهان ارائه کرد.
روزه داری
ماه رمضان
روزه داری
ماه رمضان
بوی بد دهان
۱۴۰۴/۱۲/۰۲
/ خبرگزاری مهر
راهکار رفع بوی بد دهان در ایام روزه داری
استاد گروه سلامت دهان و دندانپزشکی اجتماعی دانشگاه علوم پزشکی تهران با تأکید بر اهمیت مسواک، نخ دندان و مصرف کافی آب بین افطار تا سحر، راهکارهایی برای پیشگیری از بوی بد دهان ارائه کرد.
دانشگاه علوم پزشکی تهران
ماه مبارک رمضان
دانشگاه علوم پزشکی تهران
ماه مبارک رمضان
بهداشت دهان و دندان
۱۴۰۴/۱۱/۳۰
/ سایت آخرین خبر
بوی بد دهان تنها با مسواک زدن از بین نمیرود
همشهری/مسواک زدن یک راه برای از بین بردن بوی بد دهان است اما تنها راه نیست. بعضی افراد همیشه از بوی بد دهان خود شکایت دارند و حتی برایشان سؤال است که چرا با وجود مرتب مسواکزدن، باز دهانشان بوی بد و غیرقابل تحملی دارد! بازار دکتر روجا ماندگاری، دندانپزشک و متخصص بیماریهای دهان و فک در اینباره می
بوی بد دهان
بهداشت دهان و دندان
بوی بد دهان
بهداشت دهان و دندان
۱۴۰۴/۱۱/۲۹
/ سایت رکنا
بعد از مسواک زدن چرا دهان مان خنک می شود؟
رکنا: منتول موجود در خمیردندان، حس خنکی و تازگی در دهان ایجاد می کند و با فریب گیرنده های عصبی، سرما را به مغز القا می کند.
مسواک زدن
مسواک زدن
۱۴۰۴/۱۱/۲۹
/ سایت سلامت نیوز
بوی بد دهان تنها با مسواک زدن از بین نمیرود
مسواک زدن یک راه برای از بین بردن بوی بد دهان است اما تنها راه نیست.
بوی بد دهان
بوی بد دهان
۱۴۰۴/۱۱/۲۸
/ سایت باشگاه خبرنگاران
چندبار در روز مسواک بزنیم؟ + فیلم
توصیه یک پزشک در مورد دفعات شست و شوی دندانها و دهان طی یک روز را مشاهده میکنید.
سلامت دندان
مسواک زدن
سلامت دندان
مسواک زدن
سلامت دندان
مسواک زدن
۱۴۰۴/۱۱/۲۸
/ سایت پارسینه
بوی بد دهان بعد از مسواک؟ پای این عوامل در میان است
منخصصان میگویند ۸۵ تا ۹۰ درصد موارد بوی بد دهان، منشأ داخل دهانی دارند و برخلاف تصور عمومی، ارتباط مستقیمی با مشکلات گوارشی ندارد.
بوی بد دهان
بوی بد دهان
۱۴۰۴/۱۱/۲۷
/ خبرگزاری همشهریآنلاین
چرا بوی بد دهان بعضیها با مسواک هم از بین نمیرود؟
منخصصان میگویند ۸۵ تا ۹۰ درصد موارد بوی بد دهان، منشأ داخل دهانی دارند و برخلاف تصور عمومی، ارتباط مستقیمی با مشکلات گوارشی ندارد.
سلامت
دهان
سلامت
دهان
دندان و دندانپزشکی
پارتیشن شیشه ای
۱۴۰۴/۱۱/۲۷
/ سایت باشگاه خبرنگاران
چرا بعد از مسواک زدن احساس خنکی در دهان میکنیم؟
بعد از مسواک زدن، آب یا نفس شما خنک و یخزده حس میشود، این حس ناشی از مادهای در خمیردندان است که مغز را فریب میدهد تا سرما را حس کند.
خمیر دندان
سلامت دهان و دندان
خمیر دندان
سلامت دهان و دندان
۱۴۰۴/۱۱/۲۷
/ روزنامه دنیای اقتصاد
5 توصیه کلیدی برای بهبود مراقبت از دهان و دندان
با وجود تاکید بر مسواک زدن و کاهش مصرف قند، این کارها بهتنهایی برای پیشگیری از پوسیدگی دندان کافی نیستند و به گفته دکتر هاس، سلامت دهان تحت تاثیر عوامل متعددی قرار دارد و پیشگیری موثر نیازمند رویکردی جامعتر است.
مسواک زدن
مراقبت از دهان و دندان
مسواک زدن
مراقبت از دهان و دندان
۱۴۰۴/۱۱/۲۷
/ سایت آخرین خبر
۵ توصیه کلیدی برای بهبود مراقبت از دهان و دندان
ایسنا/با وجود گسترش آموزشهای بهداشت دهان و دندان، پوسیدگی دندان همچنان شایعترین بیماری غیرواگیر در جهان است که نشان میدهد روشهای سنتی بهداشت دهان و دندان نیازمند بازنگری هستند. در این راستا متخصصان سلامت با تاکید بر نقش عواملی فراتر از مسواک زدن صرف، از جمله زمان صحیح مسواک زدن پس از غذا، توجه
بهداشت دهان و دندان
مراقبت از دهان و دندان
بهداشت دهان و دندان
مراقبت از دهان و دندان
۱۴۰۴/۱۱/۲۶
/ سایت جهان صنعت نیوز
۵ توصیه کلیدی برای بهبود مراقبت از دهان و دندان
با وجود گسترش آموزشهای بهداشت دهان و دندان، پوسیدگی دندان همچنان شایعترین بیماری غیرواگیر در جهان است که نشان میدهد روشهای سنتی بهداشت دهان و دندان نیازمند بازنگری هستند.
دندان
سلامت دهان و دندان
دندان
سلامت دهان و دندان
مسواک
۱۴۰۴/۱۱/۲۶
/ خبرگزاری ایسنا
۵ توصیه کلیدی برای بهبود مراقبت از دهان و دندان
با وجود گسترش آموزشهای بهداشت دهان و دندان، پوسیدگی دندان همچنان شایعترین بیماری غیرواگیر در جهان است که نشان میدهد روشهای سنتی بهداشت دهان و دندان نیازمند بازنگری هستند.
دندان
سلامت دهان و دندان
دندان
سلامت دهان و دندان
مسواک
۱۴۰۴/۱۱/۲۳
/ سایت دلگرم
ترفند خلاقانه با مسواک و دریل که همه باید بدانند؛ یک ایده ساده اما کاربردی
با این ایده خلاقانه و کاربردی میتوانید یک مسواک ساده را به کمک دریل به یک ابزار تمیزکاری قدرتمند تبدیل کنید.
آموزش ساخت
دریل
آموزش ساخت
دریل
مسواک
۱۴۰۴/۱۱/۲۰
/ سایت دلگرم
دیگه مسواک قدیمی را دور نندازید / هرچی مسواک داری جمع کن
مسواک قدیمی خود را دور نیندازید! مسواک خانگی از یک مسواک قدیمی
مسواک
مسواک
۱۴۰۴/۱۱/۱۹
/ سایت فرتاک
چه زمانی باید مسواکمان را عوض کنیم؟
مسواکها نقش مهمی در حفظ بهداشت دهان و دندان دارند، اما میتوانند محل رشد باکتریها و ویروسها، به ویژه پس از یک دوره بیماری باشند. اما برای پیشگیری از بیماری دوباره یا انتقال بیماری و عفونت توسط مسواک چه باید کرد؟
مسواک
تعویض مسواک
مسواک
تعویض مسواک
۱۴۰۴/۱۱/۱۸
/ سایت دلگرم
نحوه از بین بردن ادرار آهکی توالت بدون نیاز به مسواک زدن
این ترفند حلقههای توالت را برای همیشه از بین میبرد (بدون نیاز به مسواک زدن!) - حتی روی توالتهای قدیمی هم کار میکند!
توالت
توالت
۱۴۰۴/۱۱/۱۵
/ سایت دیدبان ایران
چرا نعناع دهان را سرد میکند؟ یک دانشمند راز این حس عجیب را توضیح میدهد
تازه دندانهایتان را مسواک زدهاید؛ حس طراوت نعناع در دهانتان پیچیده و آمادهاید به رختخواب بروید. جرعهای آب مینوشید، اما آب بهطرز عجیبی یخزده به نظر میرسد و نفس بعدیتان خنک و تیز است.
نعناع
نعناع
۱۴۰۴/۱۱/۱۳
/ سایت پارسینه
چه اشتباهاتی والدین در مراقبت از دندانهای کودکان انجام می دهند؟
یک دندانپزشک کودکان میگوید: مهمتر از این که کودک مسواکش را قبل یا بعد از صبحانه بزند، این است که روزانه دو بار - صبح و شب - دندانها را مسواک بزند و هر بار حدود ۲ دقیقه برای آن وقت بگذارد.
مراقبت از دندان
دندان کودک
مراقبت از دندان
دندان کودک
۱۴۰۴/۱۱/۱۲
/ سایت روزنو
بعد از خوردن چه خوراکی هایی مسواک زدن مضر است؟
تحقیقات دندانپزشکی مدرن نشان میدهد که در مورد برخی مواد غذایی خاص، مسواک زدن بلافاصله پس از مصرف میتواند مضر باشد یا ضرورتی ندارد. این مقاله به بررسی علمی این موضوع میپردازد.
۱۴۰۴/۱۱/۱۱
/ سایت روزنو
بعد از خوردن چه خوراکی هایی مسواک زدن مضر است؟
تحقیقات دندانپزشکی مدرن نشان میدهد که در مورد برخی مواد غذایی خاص، مسواک زدن بلافاصله پس از مصرف میتواند مضر باشد یا ضرورتی ندارد. این مقاله به بررسی علمی این موضوع میپردازد.
۱۴۰۴/۱۱/۱۱
/ سایت روزنامه آگاه
بعد از خوردن این غذاها نیازی به مسواک زدن نیست!
بهداشت دهان و دندان یکی از جنبههای اساسی سلامت عمومی است که تأثیر مستقیمی بر کیفیت زندگی افراد دارد. از کودکی به ما آموزش داده شده که پس از هر وعده غذایی دندانهای خود را مسواک بزنیم تا از پوسیدگی دندان و بیماریهای لثه پیشگیری کنیم. اما آیا این توصیه برای همه مواد غذایی صادق است؟ تحقیقات دندانپزشکی …
سرکه
گریپ فروت
سرکه
گریپ فروت
ویتامین A
پروبیوتیک
۱۴۰۴/۱۱/۱۱
/ روزنامه دنیای اقتصاد
دلایل اصلی بوی بد دهان/ چه زمانی باید به پزشک مراجعه کرد؟
اگر بوی بد دهان با مسواک زدن، نخ دندان و شستوشوی زبان از بین نرود و برای مدت طولانی ادامه داشته باشد، بهتر است به پزشک یا دندانپزشک مراجعه شود.
دیابت
بوی بد دهان
دیابت
بوی بد دهان
سیگار کشیدن
مسواک زدن
۱۴۰۴/۱۱/۱۰
/ روزنامه هفت صبح
بعد از خوردن چه چیزهایی نیاز نیست مسواک بزنیم؟
حقیقات دندانپزشکی مدرن نشان میدهد که در مورد برخی مواد غذایی خاص، مسواک زدن بلافاصله پس از مصرف میتواند مضر باشد یا ضرورتی ندارد.
بهداشت دهان و دندان
دندان
بهداشت دهان و دندان
دندان
دهان
مسواک
۱۴۰۴/۱۱/۰۹
/ سایت دلگرم
نقاشی کودکان: مزایای مهم و روش های خلاقانه
آشنایی با مزایای مهم نقاشی کشیدن برای کودکان از جمله افزایش خلاقیت و کاهش استرس، به همراه معرفی روش های خلاقانه و جذاب مانند نقاشی با برگ، مسواک و گچ رنگی.
نقاشی کودکان
خلاقیت کودک
نقاشی کودکان
خلاقیت کودک
روش نقاشی
رشد کودک
۱۴۰۴/۱۱/۰۹
/ خبرگزاری ایلنا
بعد از خوردن این غذاها مسواک نزنید
در دنیای امروز که بهداشت دهان و دندان از اهمیت ویژهای برخوردار است، همواره بر ضرورت مسواک زدن پس از مصرف مواد غذایی تأکید شده است. با این حال، تحقیقات دندانپزشکی مدرن نشان میدهد که در مورد برخی مواد غذایی خاص، مسواک زدن بلافاصله پس از مصرف میتواند مضر باشد یا ضرورتی ندارد.
غذا
مسواک
غذا
مسواک
۱۴۰۴/۱۱/۰۹
/ سایت فرتاک
بعد از خوردن این غذاها مسواک نزنید
در دنیای امروز که بهداشت دهان و دندان از اهمیت ویژهای برخوردار است، همواره بر ضرورت مسواک زدن پس از مصرف مواد غذایی تأکید شده است. با این حال، تحقیقات دندانپزشکی مدرن نشان میدهد که در مورد برخی مواد غذایی خاص، مسواک زدن بلافاصله پس از مصرف میتواند مضر باشد یا ضرورتی ندارد.
مواد غذایی
مسواک
مواد غذایی
مسواک
دندانپزشکی
۱۴۰۴/۱۱/۰۹
/ سایت فرتاک
بعد از خوردن این غذاها مسواک نزنید! | دندانپزشکان هشدار دادند
مسواک زدن بلافاصله پس از مصرف برخی مواد غذایی و نوشیدنیها میتواند به مینای دندان آسیب بزند.
مسواک زدن
مسواک زدن
۱۴۰۴/۱۱/۰۹
/ سایت سلامت نیوز
بوی بد دهان گاهی نشانه یک بیماری جدی است
بوی بد دهان یکی از مشکلاتی است که بسیاری از افراد در طول زندگی با آن روبهرو میشوند. این موضوع فقط یک مسئله شخصی نیست و میتواند روابط اجتماعی، اعتمادبهنفس و حتی موقعیت شغلی افراد را تحت تأثیر قرار دهد. خیلیها فکر میکنند بوی بد دهان فقط به خاطر نخوردن مسواک یا خوردن بعضی غذاهاست اما واقعیت این است …
۱۴۰۴/۱۱/۰۹
/ سایت رکنا
مسواک زدن بعد از خوردن این غذاها ممنوع!
رکنا: مسواک زدن بلافاصله پس از مصرف برخی مواد غذایی خاص میتواند به مینای دندان آسیب برساند یا فواید خاص برخی خوراکیها را خنثی کند.
پوسیدگی دندان
بهداشت دهان و دندان
پوسیدگی دندان
بهداشت دهان و دندان
مسواک زدن
۱۴۰۴/۱۱/۰۹
/ سایت خبرفوری
بعد از خوردن چه چیزهایی نیاز نیست مسواک بزنیم؟
حقیقات دندانپزشکی مدرن نشان میدهد که در مورد برخی مواد غذایی خاص، مسواک زدن بلافاصله پس از مصرف میتواند مضر باشد یا ضرورتی ندارد.
لبنیات
آجیل
لبنیات
آجیل
بهداشت دهان و دندان
مسواک زدن
۱۴۰۴/۱۱/۰۹
/ سایت پارسینه
بعد از خوردن این غذا حتما مسواک بزنید
در دنیای امروز که بهداشت دهان و دندان از اهمیت ویژهای برخوردار است، همواره بر ضرورت مسواک زدن پس از مصرف مواد غذایی تأکید شده است. با این حال، تحقیقات دندانپزشکی مدرن نشان میدهد که در مورد برخی مواد غذایی خاص، مسواک زدن بلافاصله پس از مصرف میتواند مضر باشد یا ضرورتی ندارد.
مسواک
مسواک
۱۴۰۴/۱۱/۰۸
/ خبرگزاری ایلنا
بعد از خوردن این غذاها نیازی به مسواک زدن نیست!
در دنیای امروز که بهداشت دهان و دندان از اهمیت ویژهای برخوردار است، همواره بر ضرورت مسواک زدن پس از مصرف مواد غذایی تأکید شده است. با این حال، تحقیقات دندانپزشکی مدرن نشان میدهد که در مورد برخی مواد غذایی خاص، مسواک زدن بلافاصله پس از مصرف میتواند مضر باشد یا ضرورتی ندارد.
تغذیه
بهداشت
تغذیه
بهداشت
خوردن
مسواک
۱۴۰۴/۱۱/۰۸
/ خبرگزاری ایسنا
بعد از خوردن چه چیزهایی نیاز نیست مسواک بزنیم؟
در دنیای امروز که بهداشت دهان و دندان از اهمیت ویژهای برخوردار است، همواره بر ضرورت مسواک زدن پس از مصرف مواد غذایی تأکید شده است. با این حال، تحقیقات دندانپزشکی مدرن نشان میدهد که در مورد برخی مواد غذایی خاص، مسواک زدن بلافاصله پس از مصرف میتواند مضر باشد یا ضرورتی ندارد. این مقاله به بررسی علمی …
مسواک
سلامت دهان و دندان
مسواک
سلامت دهان و دندان
۱۴۰۴/۱۱/۰۸
/ خبرگزاری همشهریآنلاین
بعد از خوردن این غذاها نیازی به مسواک زدن نیست!
در دنیای امروز که بهداشت دهان و دندان از اهمیت ویژهای برخوردار است، همواره بر ضرورت مسواک زدن پس از مصرف مواد غذایی تأکید شده است. با این حال، تحقیقات دندانپزشکی مدرن نشان میدهد که در مورد برخی مواد غذایی خاص، مسواک زدن بلافاصله پس از مصرف میتواند مضر باشد یا ضرورتی ندارد.
سلامت
دهان
سلامت
دهان
دندان و دندانپزشکی
تغذیه سالم
۱۴۰۴/۱۱/۰۷
/ سایت آخرین خبر
فقط ۴۰ درصد کودکان ۱۲ ساله فاقد پوسیدگی دندان هستند
ایسنا/ مدیرکل دفتر سلامت دهان و دندان وزارت بهداشت، درمان و آموزش پزشکی با اشاره به آمار پوسیدگیهای دندانی در کودکان، از اجرای پویش ملی سلامت دهان و دندان در مهرماه ۱۴۰۴ با محوریت فرهنگسازی مسواکزدن صحیح و پیشگیری از پوسیدگی دندان خبر داد و گفت: در این پویش که از ۱۹ تا ۲۵ مهرماه در سراسر کشور برگ
کودکان
پوسیدگی دندان
کودکان
پوسیدگی دندان
۱۴۰۴/۱۱/۰۷
/ سایت برترینها
بعد از خوردن این خوراکیها نیاز به مسواک نیست
در دنیای امروز که بهداشت دهان و دندان از اهمیت ویژهای برخوردار است، همواره بر ضرورت مسواک زدن پس از مصرف مواد غذایی تأکید شده است. با این حال، تحقیقات دندانپزشکی مدرن نشان میدهد که در مورد برخی مواد غذایی خاص، مسواک زدن بلافاصله پس از مصرف میتواند مضر باشد یا ضرورتی ندارد. این مقاله به بررسی علمی …
مسواک
مسواک
۱۴۰۴/۱۱/۰۶
/ سایت جوان آنلاین
بعد از خوردن چه چیزهایی نیاز نیست مسواک بزنیم؟
در دنیای امروز که بهداشت دهان و دندان از اهمیت ویژهای برخوردار است، همواره بر ضرورت مسواک زدن پس از مصرف مواد غذایی تأکید شده است. با این حال، تحقیقات دندانپزشکی مدرن نشان میدهد که در مورد برخی مواد غذایی خاص، مسواک زدن بلافاصله پس از مصرف میتواند مضر باشد یا ضرورتی ندارد. این مقاله به بررسی علمی …
خوردن
مسواک
خوردن
مسواک
بهداشت
۱۴۰۴/۱۱/۰۸
/ سایت فرارو
بعد از خوردن چه چیزهایی نیاز نیست مسواک بزنیم؟
در دنیای امروز که بهداشت دهان و دندان از اهمیت ویژهای برخوردار است، همواره بر ضرورت مسواک زدن پس از مصرف مواد غذایی تأکید شده است. با این حال، تحقیقات دندانپزشکی مدرن نشان میدهد که در مورد برخی مواد غذایی خاص، مسواک زدن بلافاصله پس از مصرف میتواند مضر باشد یا ضرورتی ندارد. این مقاله به بررسی علمی …
مسواک
دهان و دندان
مسواک
دهان و دندان
۱۴۰۴/۱۱/۰۷
/ سایت پارسینه
بعد از خوردن چه خوراکیهایی باید مسواک بزنیم؟
در دنیای امروز که بهداشت دهان و دندان از اهمیت ویژهای برخوردار است، همواره بر ضرورت مسواک زدن پس از مصرف مواد غذایی تأکید شده است. با این حال، تحقیقات دندانپزشکی مدرن نشان میدهد که در مورد برخی مواد غذایی خاص، مسواک زدن بلافاصله پس از مصرف میتواند مضر باشد یا ضرورتی ندارد. این مقاله به بررسی علمی …
خوراکی
مسواک زدن
خوراکی
مسواک زدن
۱۴۰۴/۱۱/۰۷
/ سایت دیدبان ایران
بعد از خوردن چه چیزهایی نیاز نیست مسواک بزنیم؟
در دنیای امروز که بهداشت دهان و دندان از اهمیت ویژهای برخوردار است، همواره بر ضرورت مسواک زدن پس از مصرف مواد غذایی تأکید شده است. با این حال، تحقیقات دندانپزشکی مدرن نشان میدهد که در مورد برخی مواد غذایی خاص، مسواک زدن بلافاصله پس از مصرف میتواند مضر باشد یا ضرورتی ندارد. این مقاله به بررسی علمی …
مسواک
مسواک
۱۴۰۴/۱۱/۰۷
/ سایت میگنا
میگنا - بعد از خوردن چه چیزهایی نیاز نیست مسواک بزنیم؟
مسواک زدن بلافاصله پس از مصرف مواد غذایی اسیدی میتواند باعث سایش مینای دندان شود. دندانپزشکان توصیه میکنند پس از مصرف مواد غذایی اسیدی حداقل ۳۰ دقیقه تا یک ساعت صبر کنید و سپس مسواک بزنید تا بزاق دهان فرصت خنثی کردن محیط اسیدی را داشته باشد.
مسواک زدن
مسواک زدن
۱۴۰۴/۱۱/۰۹
/ خبرگزاری دانشجو
آموزش بیش از ۳.۶ میلیون دانشآموز در پویش ملی سلامت دهان و دندان در کشور
مدیرکل دفتر سلامت دهان و دندان وزارت بهداشت، درمان و آموزش پزشکی از اجرای پویش ملی سلامت دهان و دندان در مهرماه ۱۴۰۴ با محوریت فرهنگسازی مسواکزدن صحیح و پیشگیری از پوسیدگی دندان خبر داد و گفت: در این پویش که از ۱۹ تا ۲۵ مهرماه در سراسر کشور برگزار شد، بیش از ۳ میلیون و ۶۰۰ هزار دانشآموز تحت آموزشهای …
دندان
مسواک
دندان
مسواک
سلامت
بهداشت
۱۴۰۴/۱۰/۱۸
/ سایت آفتاب نیوز
سلامت دندان با چوب مسواک
جمـوع میکربهـای دهـان و مـواد تراوشی آنها بر سطح دندانها پلاکهای دندانی را ایجاد میکنـد.
مسواک
مسواک
۱۴۰۴/۱۰/۱۸
/ سایت آخرین خبر
چرا آب پرتقال بعد از مسواک زدن طعم بدی پیدا میکند؟
زومیت/ اگر پس از مسواک زدن آب پرتقال نوشیدهاید و از طعم عجیب آن تعجب کردهاید، مقصر مادهای در خمیردندان است که حس چشایی شما را موقتا تغییر میدهد. تصور کنید صبح با عجله از خواب بیدار میشوید، برای اینکه زودتر آماده شوید اول دندانهایتان را مسواک میزنید و بعد به آشپزخانه میروید و یک لیوان بزرگ آ
مسواک زدن
آب پرتقال
مسواک زدن
آب پرتقال
۱۴۰۴/۱۰/۱۸
/ سایت تابناک
آیا ته دیگ موجب خرابی دندان ها میشود؟
کارشناسان میگویند تهدیگ به تنهایی مادهای مخرب یا پوسیدگیزا برای دندان محسوب نمیشود، اما میتواند در شرایطی به سلامت دندانها آسیب بزند.
ته دیگ
دندان
ته دیگ
دندان
برنج
مسواک
۱۴۰۴/۱۰/۱۷
/ خبرگزاری برنا
سلامت دندان با چوب مسواک
به گزارش برنا، مجمـوع میکربهـای دهـان و مـواد تراوشی آ�
۱۴۰۴/۱۰/۱۷
/ سایت انتخاب
چرا نعناع دهان را سرد میکند؟ یک دانشمند راز این حس عجیب را توضیح میدهد
تازه دندانهایتان را مسواک زدهاید؛ حس طراوت نعناع در دهانتان پیچیده و آمادهاید به رختخواب بروید. جرعهای آب مینوشید، اما آب بهطرز عجیبی یخزده به نظر میرسد و نفس بعدیتان خنک و تیز است.
۱۴۰۴/۱۰/۱۶
/ سایت آخرین خبر
مراحل تولید انبوه مسواک در کارخانه ای پیشرفته در کره جنوبی
فرادید/ در این ویدئو مراحل تولید انبوه مسواک را در کارخانه ای پیشرفته در کره جنوبی مشاهده خواهید کرد. 🔹 آخرین خبر در روبیکا 🔹 آخرین خبر در ایتا 🔹 آخرین خبر در بله بازار
کره جنوبی
مسواک
کره جنوبی
مسواک
۱۴۰۴/۱۰/۱۵
/ شهرآرانیوز
بعد از خوردن هر خوراکی، دندانهایتان را مسواک نزنید
خیلیها تصور میکنند مسواک زدن یا شستن دهان بعد از خوردن شیرینی، شکلات، نوشیدنیهای قندی و سایر مواد مضر، به جلوگیری از پوسیدگی دندانهایشان و حفظ سلامت آنها کمک میکند.
۱۴۰۴/۱۰/۱۴
/ سایت آخرین خبر
عینک دودی؛ مسواک در میرافلورس، مسواک در نیویورک
فرارو/ صبح رئیسجمهور بود و شب مسافر ناو هواپیمابر آمریکایی بعد هواپیما و بعد هم بازداشتگاهی در جنوب نیویورک. یعنی زندگی نمیتواند بیشتر از این به ما نشان دهد که کلاً و جزئاً به مویی بند است. نکته آن که کار آمریکاییها نشان داد واقعا دنیا با قانون جنگل اداره میشود. صبح رئیسجمهور بود و شب مسافر ناو
ونزوئلا
مادورو
ونزوئلا
مادورو
۱۴۰۴/۱۰/۱۴
/ خبرگزاری همشهریآنلاین
بعد از خوردن هر خوراکی، دندانهایتان را مسواک نزنید
خیلیها تصور میکنند مسواک زدن یا شستن دهان بعد از خوردن شیرینی، شکلات، نوشیدنیهای قندی و سایر مواد مضر، به جلوگیری از پوسیدگی دندانهایشان و حفظ سلامت آنها کمک میکند.
سلامت
دندان و دندانپزشکی
سلامت
دندان و دندانپزشکی
۱۴۰۴/۱۰/۱۴
/ سایت کولاک
بعد از خوردن هر خوراکی، دندانهایتان را مسواک نزنید - مجله اینترنتی کولاک
خیلیها تصور میکنند مسواک زدن یا شستن دهان بعد از خوردن شیرینی، شکلات، نوشیدنیهای قندی و سایر مواد مضر، به جلوگیری از پوسیدگی دندانهایشان و حفظ سلامت آنها
۱۴۰۴/۱۰/۱۴
/ سایت فرارو
عینک دودی؛ مسواک در میرافلورس، مسواک در نیویورک
صبح رئیسجمهور بود و شب مسافر ناو هواپیمابر آمریکایی بعد هواپیما و بعد هم بازداشتگاهی در جنوب نیویورک. یعنی زندگی نمیتواند بیشتر از این به ما نشان دهد که کلاً و جزئاً به مویی بند است. نکته آن که کار آمریکاییها نشان داد واقعا دنیا با قانون جنگل اداره میشود.
ونزوئلا
مادورو
ونزوئلا
مادورو
طنز سیاسی عینک دودی
۱۴۰۴/۱۰/۱۴
/ خبرگزاری ایلنا
10 عامل مهم که خطر پوسیدگی دندان را افزایش میدهد
شاید برای شما هم پیش آمده باشد که با وجود وسواس زیاد در مسواک زدن، باز هم با درد ناگهانی دندان یا تغییر رنگ مینای آن غافلگیر شوید.
پوسیدگی دندان
پوسیدگی دندان
۱۴۰۴/۱۰/۱۳
/ سایت گفتنی
رباتی که جای تو مسواک میزند؛ ساخته دانشمندان ژاپنی!
رباتی که جای تو مسواک میزند: اگر از مسواک زدن روزانه خستهای و دوست داری این کار راحتتر شود، خبر خوبی برایت داریم: دانشمندان ژاپنی یک مسواک رباتیک خودکار
۱۴۰۴/۱۰/۱۰
/ سایت مجله آلامتو
روش های مشتاق کردن کودکان به مسواک زدن | راهکارهای مسواک زدن کودک
روش های مشتاق کردن کودکان به مسواک زدن | راهکارهای مسواک زدن کودک:مشتاق کردن کودکان به مسواک زدن مسواک زدن کودکان یکی از مهمترین پایه های سلامت دهان و دندان است که اگر از سنین پایین به یک عادت روزانه تبدیل شود، میتواند
۱۴۰۴/۱۰/۱۰
/ خبرگزاری ایسکانیوز
۳ روش جالب مسواک زدن برای پیشگیری از زوال عقل
روشهای زیادی وجود دارد که نشان میدهد کارهای روزمره میتوانند از نظر شناختی به مغز کمک کنند. آیا تا به حال به این فکر کردهاید که مسواک زدن به شیوههای جدید میتواند در پیشگیری از زوال عقل موثر باشد؟
دانستنی ها
دانستنی ها
۱۴۰۴/۱۰/۰۹
/ شهرآرانیوز
آیا خوردن تهدیگ باعث پوسیدگی دندان میشود؟
یک دندانپزشک درباره ابهام در ایجاد پوسیدگی دندان با مصرف ته دیگ، توضیحاتی ارائه کرد.
پوسیدگی
دندان
پوسیدگی
دندان
مسواک
غذا
۱۴۰۴/۱۰/۰۹
/ سایت اندیشه قرن
۳ روش ابتکاری مسواک زدن برای پیشگیری از زوال عقل / تکنیکهای ساده روزانه که مغز شما را سالم نگه میدارند | اندیشه قرن
روشهای زیادی وجود دارد که نشان میدهد کارهای روزمره میتوانند از نظر شناختی به مغز کمک کنند. آیا تا به حال به این فکر کردهاید که مسواک زدن به شیوههای جدید میتواند در پیشگیری از زوال عقل موثر باشد؟
۱۴۰۴/۱۰/۰۹
/ سایت اندیشه معاصر
۳ روش ابتکاری مسواک زدن برای پیشگیری از زوال عقل / تکنیکهای ساده روزانه که مغز شما را سالم نگه میدارند
روشهای زیادی وجود دارد که نشان میدهد کارهای روزمره میتوانند از نظر شناختی به مغز کمک کنند. آیا تا به حال به این فکر کردهاید که مسواک زدن به شیوههای جدید میتواند در پیشگیری از زوال عقل موثر باشد؟
۱۴۰۴/۱۰/۰۹
/ خبرگزاری برنا
چند روش ساده با مسواک زدن که زوال عقل را بهبود میدهد
درگیر کردن مغز با فعالیتهای ذهنی چالشبرانگیز میتواند عملکرد حافظه کاری و اجزای اجرایی مغز را بهبود بخشد.
زوال عقل
زوال عقل
۱۴۰۴/۱۰/۰۹
/ سایت سلامت نیوز
چند روش ساده با مسواک زدن که زوال عقل را بهبود میدهد
درگیر کردن مغز با فعالیتهای ذهنی چالشبرانگیز میتواند عملکرد حافظه کاری و اجزای اجرایی مغز را بهبود بخشد.
زوال عقل
زوال عقل
۱۴۰۴/۱۰/۰۹
/ سایت پارسینه
۳ روش ابتکاری مسواک زدن برای پیشگیری از زوال عقل
روشهای زیادی وجود دارد که نشان میدهد کارهای روزمره میتوانند از نظر شناختی به مغز کمک کنند. آیا تا به حال به این فکر کردهاید که مسواک زدن به شیوههای جدید میتواند در پیشگیری از زوال عقل موثر باشد؟
مسواک
زوال عقل
مسواک
زوال عقل
۱۴۰۴/۱۰/۰۹
/ شهرآرانیوز
دلیل شیوع بالای پوسیدگی دندان در ایرانیها چیست؟
یک دندانپزشک میگوید: فرهنگ بهداشت دهان و دندان در خانوادههای ایرانی رضایتبخش نیست. بسیاری از افراد فقط یک بار در روز مسواک میزنند و خیلیها همین یک بار را فقط در مواقع خاص انجام میدهند. مثلا وقتی میخواهند به مهمانی بروند.
۱۴۰۴/۱۰/۰۹
/ شهرآرانیوز
دلیل شیوع بالای پوسیدگی دندان در بین ایرانیها چیست؟
یک دندانپزشک میگوید: فرهنگ بهداشت دهان و دندان در خانوادههای ایرانی رضایتبخش نیست. بسیاری از افراد فقط یک بار در روز مسواک میزنند و خیلیها همین یک بار را فقط در مواقع خاص انجام میدهند. مثلا وقتی میخواهند به مهمانی بروند.
۱۴۰۴/۱۰/۰۹
/ سایت عصرایران
۳ روش ابتکاری مسواک زدن برای پیشگیری از زوال عقل
روشهای زیادی وجود دارد که نشان میدهد کارهای روزمره میتوانند از نظر شناختی به مغز کمک کنند. آیا تا به حال به این فکر کردهاید که مسواک زدن به شیوههای جدید میتواند در پیشگیری از زوال عقل موثر باشد؟
مسواک زدن
زوال عقل
مسواک زدن
زوال عقل
روش ابتکاری
۱۴۰۴/۱۰/۰۹
/ خبرگزاری همشهریآنلاین
۳ روش ابتکاری مسواک زدن برای پیشگیری از زوال عقل
روشهای زیادی وجود دارد که نشان میدهد کارهای روزمره میتوانند از نظر شناختی به مغز کمک کنند. آیا تا به حال به این فکر کردهاید که مسواک زدن به شیوههای جدید میتواند در پیشگیری از زوال عقل موثر باشد؟
سلامت
زوال عقل
سلامت
زوال عقل
پزشکی
۱۴۰۴/۱۰/۰۹
/ سایت کولاک
۳ روش ابتکاری مسواک زدن برای پیشگیری از زوال عقل - مجله اینترنتی کولاک
روشهای زیادی وجود دارد که نشان میدهد کارهای روزمره میتوانند از نظر شناختی به مغز کمک کنند. آیا تا به حال به این فکر کردهاید که مسواک زدن به شیوههای جدید
۱۴۰۴/۱۰/۰۸
/ سایت رکنا
درمان سیاهی دندان در طب سنتی
سیاه شدن رنگ دندانها معمولاً آرام و تدریجی اتفاق میافتد؛ آنقدر بیسروصدا که خیلی وقتها وقتی متوجه آن میشویم که در آینه لبخندمان دیگر شفافیت قبل را ندارد. این تغییر میتواند نتیجه سالها نوشیدن چای و قهوه، بیتوجهیهای کوچک به بهداشت دهان، یا حتی نشانهای از مشکلات عمیقتر در بدن باشد. برای بسیاری …
طب سنتی
مسواک زدن
طب سنتی
مسواک زدن
دندان پزشکی
جوششیرین
۱۴۰۴/۱۰/۰۸
/ خبرگزاری همشهریآنلاین
دلیل شیوع بالای پوسیدگی دندان در ایرانیها چیست؟ | این گروه حتی یک دندان هم در دهانشان نمانده است
یک دندانپزشک میگوید: فرهنگ بهداشت دهان و دندان در خانوادههای ایرانی رضایتبخش نیست. بسیاری از افراد فقط یک بار در روز مسواک میزنند و خیلیها همین یک بار را فقط در مواقع خاص انجام میدهند. مثلا وقتی میخواهند به مهمانی بروند.
سلامت
دندان و دندانپزشکی
سلامت
دندان و دندانپزشکی
دریافت اخبار بیشتر
۱۴۰۴/۱۰/۰۸ - ۱۶:۳۲:۴۲
یکشنبه ۱۶ فروردین ۱۴۰۵ -
5 April 2026