معده درد







چهارشنبه ۲۷ اسفند ۱۴۰۴ - 18 March 2026
وضعیت قرمز دارو برای بیماران؛ ناترازی‌ها به بازار دارو رسیده است
سایت سلامت نیوز

وضعیت قرمز دارو برای بیماران؛ ناترازی‌ها به بازار دارو رسیده است

یک بیمار متبلا به «لوپوس ریوی» می‌گوید: موارد زیادی پیش می‌آید که داروهای اصلی که باید مصرف کنم اصلا پیدا نمی‌شوند، حتی مشابه ایرانی آن. حتی از شهر خودم به تهران می‌آیم و در ناصر خسرو جستجو می‌کنم، اما باز هم آن‌ها را پیدا نمی‌کنم. در چنین مواردی ممکن است دچار تشنج تنفسی شوم. آخرین بار مهر ماه بود که …
پنج سطح نیازهای اساسی یک انسان مازلو در زندگی امروز ما!+ در کجا گیر کرده ایم؟
سایت خط سلامت

پنج سطح نیازهای اساسی یک انسان مازلو در زندگی امروز ما!+ در کجا گیر کرده ایم؟

خط سلامت: انسان‌ ها گرچه به طور غریزی به نیازها پاسخ می‌ دهند، اما یادگیری، انتظارات اجتماعی و ترس از عدم تأیید می‌ توانند شدت تجربه هر سطح را تغییر دهند. این متن پنج سطح فیزیولوژیک، ایمنی، تعلق و محبت، احترام و خود شکوفایی را توضیح می‌ دهد و توضیح می‌ دهد چگونه افراد از سطح‌ های پایین به بالا حرکت می‌ …
آیا می دانستید: هفته ای یک کارت اعتباری می خورید! / 8 منبع اصلی میکروپلاستیک
سایت عصرایران

آیا می دانستید: هفته ای یک کارت اعتباری می خورید! / 8 منبع اصلی میکروپلاستیک

میکروپلاستیک ها در همه جا هستند، از آب آشامیدنی تا نمک هیمالیا. در این مقاله 8 منبع اصلی ورود میکروپلاستیک به بدن و راه های ساده برای کاهش مصرف آن ها را بررسی می کنیم.
سایت خط سلامت

علامت بزرگ و مخفی اتاق خواب های مرده / قاتل بزرگ میل جنسی را بشناسید

سونامی سرطان در ایران
سایت سلامت نیوز

سونامی سرطان در ایران

طی روزهای گذشته، وزارت بهداشت هشدار داد که طی 6 سال اخیر، شیوع ابتلا به سرطان‌های سینه، پروستات، روده بزرگ و مقعد، پوست و معده در ایران رو به افزایش است و بهشتیان در تحلیل دلیل افزایش شیوع ابتلا به سرطان در ایران گفت که افزایش امید به زندگی، سالمندشدن جمعیت، بهبود نظام ثبت سرطان و تشخیص زودهنگام‌تر و …
    
افق دید ایران در گردشگری سلامت
سایت سلامت نیوز

افق دید ایران در گردشگری سلامت

امروز ایران از منظر توان پزشکی، در موقعیت مناسبی قرار دارد. شبکه گسترده بیمارستان‌ها و مراکز درمانی، پزشکان متخصص با دانش و تجربه بین‌المللی و هزینه‌های درمانی رقابتی، از مهم‌ترین مزیت‌های کشور در گردشگری سلامت هستند. در بسیاری از رشته‌ها، کیفیت خدمات ارائه‌شده در ایران قابل رقابت با مقاصد مطرح منطقه‌ای …
سایت خط سلامت

۵ راهکار علمی برای مقابله با بی معنایی زندگی

سایت فرتاک

خوابِ پیش‌دستانه: آیا می‌توان با خواب بیشتر، اثرات بی‌خوابی آینده را کم کرد؟

سایت خط سلامت

داروهای اضطراب چه مشکلات عصبی ایجاد می کنند؟+ آخرین یافته ها زنگ خطر را به صدا در آوردند

سایت دیدارنیوز

مصرف مفید قند و نشاسته چقدر است؟

سایت آخرین خبر

فیلر یا ژل چیست و چرا باید توسط پزشک متخصص تزریق شود؟

سایت آخرین خبر

آیا مولتی‌ویتامین‌ها می‌توانند خطرناک باشند؟

سایت آخرین خبر

چرایی افزایش بروز سرطان‌ها؛ شایع‌ترین سرطان‌ها در ایران

سایت فرتاک

دانشمندان پنج تیپ خواب انسان را معرفی کردند؛ شما جزو کدامید؟

سایت خط سلامت

آیا شما هم یک مرغ مگس خوار هستید؟+ داستانی واقعی از رشد و موفقیت

سایت خط سلامت

تحمل ابهام چه تاثیری بر کیفیت زندگی دارد؟

سایت جهان صنعت نیوز

از آرامش تا ریسک پنهان؛ دمنوش‌های سم‌زدا چه عوارضی دارند

سایت خط سلامت

لیست بهترین فعالیتهای سرگرم کننده برای زوج هایی که دنبال هیجان و صمیمیت اند

سایت رکنا

مراقب باشید! 7 نشانه کلسترول بالا که ناخن‌ ها به شما هشدار می‌ دهد / پرسش و پاسخ

آشوب در بازار دارو
سایت سلامت نیوز

آشوب در بازار دارو

برخی شرکت‌های تولیدی، دارو رابه اصطلاح نگه می‌دارند تا مجوز افزایش قیمت دریافت کنند، اما از آن‌سو مجوزی صادر نمی‌شود و نتیجه، توقف عرضه است. این وضع بیش از آنکه نشانه کمبود واقعی باشد، حاصل اختلال در سیاست‌گذاری و تنظیم بازار است .
سایت فرتاک

چه زمانی شام بخوریم تا هضم بهتر و خواب راحت‌تری داشته باشیم؟

سایت خط سلامت

چرا افراد خوش‌ برخورد بیشتر اضطراب دارند؟ + فیلم

سایت رکنا

کاربرد و عوارض قرص کلردیازپوکساید 5 چیست؟ + فیلم

سایت رکنا

کدام ویتامین‌ ها و مکمل‌ ها حال روحی شما را بهتر می‌ کنند؟ / پاسخ به پرسش های شما

زنگ خطر کمبود پرستار در کشور به صدا درآمد
سایت سلامت نیوز

زنگ خطر کمبود پرستار در کشور به صدا درآمد

کمبود نیروی پرستاری در کشور از یک مشکل مزمن عبور کرده و به بحرانی فراگیر در نظام سلامت تبدیل شده است؛ بحرانی که به گفته رئیس کمیته پرستاری کمیسیون بهداشت مجلس، نه‌تنها مهار نشده بلکه هر سال ابعاد گسترده‌تری پیدا می‌کند و اکنون نیازمند ورود فوری و جدی دولت است.
سایت رکنا

چگونه استرس مزمن بر جسم و روان تاثیر می‌ گذارد؟

ببینید| علائم خطر آنفلوآنزا را بشناسید؛ فقط در این شرایط به بیمارستان مراجعه کنید
سایت اعتماد آنلاین

ببینید| علائم خطر آنفلوآنزا را بشناسید؛ فقط در این شرایط به بیمارستان مراجعه کنید

کارشناسان بهداشت هشدار می‌دهند: در صورت مشاهده علائمی مانند تنگی نفس، درد قفسه سینه، گیجی شدید، یا تب بالا و پایدار در بیماران مبتلا به آنفلوآنزا، مراجعه فوری به مراکز درمانی ضروری است. این نشانه‌ها می‌توانند بیانگر عوارض خطرناکی مانند ذات‌الریه یا نارسایی تنفسی باشند که نیاز به مداخله اورژانسی دارند.
سایت خبرآنلاین

ببینید | تفاوت سرماخوردگی و آنفلوانزا چیست؟

سایت فرتاک

شکلات سفید شده؛ علت تغییر رنگ و آیا می‌توان آن را خورد؟

سایت رکنا

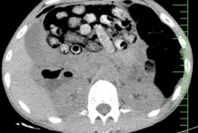
توده های مرموز خرمالو در معده بیماران مشهد

خبرگزاری ایسنا

ویدیو/ ویروس جدید «آنفلوآنزا H3» چقدر پرخطر است؟

سایت رکنا

چرا بیشتر مشکلات عاطفی شما دائمی هستند؟ پاسخ علمی به 69% اختلافات

روایت تکان دهنده دو بیمار دیگر از رهاشدن به‌خاطر نداشتن سکه
سایت سلامت نیوز

روایت تکان دهنده دو بیمار دیگر از رهاشدن به‌خاطر نداشتن سکه

«پس از افشای ماجرای مطالبه پنج سکه، روایت‌های تازه بیماران نشان می‌دهد این فقط یک سوءرفتار ساده نبود؛ بلکه چرخه‌ای فرساینده از بی‌اخلاقی، رهاسازی بیمار و بی‌پاسخ‌گذاشتن درمان بوده که هیچ نظارتی سد راهش نشده است. دو بیمار کارگر و کشاورز روایت می‌کنند چگونه برای جراحی ساده، ۱۵ ماه آواره جاده و بیمارستان …
اجبار به مصرف انسولینِ تولید داخل یکی از اصلی‌ترین چالش‌های بیماران شده
سایت سلامت نیوز

اجبار به مصرف انسولینِ تولید داخل یکی از اصلی‌ترین چالش‌های بیماران شده

سال‌هاست با هدف حمایت از تولید داخل، ابتدا درهای واردات بسته و سپس توزیع محصولات خارجی محدود یا متوقف می‌شود؛ اما شواهد امروز نشان می‌دهد این سیاست نه‌تنها کیفیت را ارتقا نداده بلکه بیماران را با کمبود، اجبار به مصرف اقلام بی‌کیفیت و آسیب‌های مستقیم روبه‌رو کرده است.
شیوع آنفولانزا از اروپا تا ایران؛ هر آنچه از نوع جدید این بیماری باید بدانیم
سایت آفتاب نیوز

شیوع آنفولانزا از اروپا تا ایران؛ هر آنچه از نوع جدید این بیماری باید بدانیم

همزمان با کاهش دمای هوا در فصل پائیز بار دیگر گزارش‌های زیادی از شیوع آنفولانزا منتشر شده است. استاد دانشگاه علوم پزشکی تهران در مورد دوره بیماری شیوع‌یافته می‌گوید: «اگر به پزشک مراجعه کنند، چون داروی ضد ویروسی به اسم اوسلتامیویر برای آنفولانزا داریم، اگر آن را مصرف کنند، دوره‌اش پنج روز است و روزی …
خبرگزاری برنا

دیابت بعد از ۶۰ سال رازش را فاش کرد

سایت خط سلامت

بهترین کارهایی که باید قبل از ۹ شب انجام دهید تا خواب راحت و ذهن آرام داشته باشید

درمان HIV در کشور رایگان و محرمانه است/ یک میلیون ایرانی ناقل هپاتیت B هستند
خبرگزاری ایسکانیوز

درمان HIV در کشور رایگان و محرمانه است/ یک میلیون ایرانی ناقل هپاتیت B هستند

پزشک فعال در زمینه پیشگیری از عفونت‌ها درباره وضعیت مبتلایان به ویروس‌های HIV و هپاتیتBوC و شیوه درمان این ویروس‌ها صحبت کرد.
روایتی تلخ از رفتارهای غیرانسانی با رزیدنت‌های یک بیمارستان در تهران
سایت سلامت نیوز

روایتی تلخ از رفتارهای غیرانسانی با رزیدنت‌های یک بیمارستان در تهران

روایت‌های تازه از یکی از بیمارستان‌های آموزشی تهران، از تداوم رفتارهای تنبیهی و فشار روانی بر رزیدنت‌ها حکایت دارد؛ فشارهایی که به گفته منابع آگاه، گاهی تا مرز تحقیر و خستگی شدید روانی پیش می‌رود و می‌تواند پیامدهای نگران‌کننده‌ای برای جامعه پزشکی جوان کشور داشته باشد.
    
هشدار درباره شیوع دیابت نوع ۲
روزنامه شرق

هشدار درباره شیوع دیابت نوع ۲

رئیس هیات‌مدیره انجمن دیابت با اشاره به اینکه حدود ۴۰ درصد جمعیت بزرگسال کشور درگیر دیابت یا پیش‌دیابت هستند و با بیان اینکه حدود ۷ میلیون نفر از ایرانیان دیابت نوع دو دارند و بیش از ۱۰ میلیون نفر در مرحله پیش‌دیابت قرار گرفته‌اند، با هشدار نسبت به افزایش چاقی و سبک زندگی ناسالم در جامعه، تاکید کرد که …
خداحافظی با آسپیرین؟ کلوپیدوگرل می‌تواند درمان قلبی-عروقی را متحول کند
سایت سلامت نیوز

خداحافظی با آسپیرین؟ کلوپیدوگرل می‌تواند درمان قلبی-عروقی را متحول کند

یک مطالعه جدید که در ژورنال لنست منتشر شده، نشان می‌دهد که داروی کلوپیدوگرل (Clopidogrel) می‌تواند به‌طور مؤثرتری از آسپیرین در پیشگیری از سکته‌های قلبی و مغزی عمل کند و بدون افزایش خطر خونریزی، گزینه بهتری برای بیماران قلبی باشد. این یافته‌ها ممکن است درمان‌های ضدپلاکتی را برای میلیون‌ها بیمار قلبی …
    
حذف نظام پرستاری از معادلات وزارت بهداشت
سایت سلامت نیوز

حذف نظام پرستاری از معادلات وزارت بهداشت

ضعف عملکرد و انفعال سازمان نظام پرستاری در دوره ششم، این نهاد را از مسیر اصلی خود به عنوان مدافع حقوق پرستاران دور کرده است. تصمیم‌گیری‌های کلان در حوزه پرستاری بدون حضور مؤثر این سازمان، از تعرفه‌گذاری خدمات تا جذب دانشجو در مراکز غیرانتفاعی، باعث شده جایگاه حرفه‌ای پرستاران در وزارت بهداشت بیش از پیش …
رئیسی: تعداد تولدها در ایران به زیر یک میلیون رسید؛ زنگ خطر برای آینده جمعیت کشور
سایت سلامت نیوز

رئیسی: تعداد تولدها در ایران به زیر یک میلیون رسید؛ زنگ خطر برای آینده جمعیت کشور

برای نخستین بار پس از انقلاب، تعداد تولدها در ۶ ماهه نخست سال جاری به کمتر از یک میلیون مورد رسید. این کاهش شدید در تعداد تولدها، به گفته علیرضا رئیسی، معاون بهداشت وزارت بهداشت، به‌عنوان یک هشدار جدی برای آینده جمعیتی کشور مطرح شده است.
    
سخنگوی کمیسیون بهداشت مجلس در گفت‌وگو با شفقنا: بسیاری از داروهای بیماران سرطانی در بازار سیاه یافت می‌شود/ نزدیک به ۱۳۷ قلم از داروهای اساسی با کمبود جدی مواجه هستند/ داروخانه‌ها از فروش برخی داروها اجتناب می‌کنند/ ورود کمیسیون به نحوه تخصیص ارز دارو
سایت شفقنا

سخنگوی کمیسیون بهداشت مجلس در گفت‌وگو با شفقنا: بسیاری از داروهای بیماران سرطانی در بازار سیاه یافت می‌شود/ نزدیک به ۱۳۷ …

شفقنا_ سخنگوی کمیسیون بهداشت و درمان مجلس شورای اسلامی با بیان اینکه در حال حاضر نزدیک به ۱۳۷ قلم از داروهای اساسی کشور با کمبود جدی مواجه هستند، گفت: تاخیر بیمه‌ها در پرداخت مطالبات داروخانه‌ها موجب شده بخشی از داروها به سمت بازار سیاه سوق داده می‌شوند. دکتر سلمان اسحاقی در گفت‌وگو با خبرنگار شفقنا …
سایت خط سلامت

ترفندی ساده با پوست موز که پوستتان را جوان و شاداب می‌کند!

سایت عصرایران

دانشگاه هاروارد: یک وعده نوشابه در روز، 85٪ خطر ابتلا به بیماری خاصی را افزایش می دهد

سایت اکوایران

دیسک کمر در کمین کارمندان: 5 عادت روزانه برای پیشگیری و عدم عود دیسک کمر

کلاهبرداری‌های لاغری با قرص و دمنوش؛ حقیقت‌های تلخ درباره تبلیغات معجزه‌آسا
سایت سلامت نیوز

کلاهبرداری‌های لاغری با قرص و دمنوش؛ حقیقت‌های تلخ درباره تبلیغات معجزه‌آسا

بازار داغ لاغری با قرص‌ها، دمنوش‌ها و روش‌های فوری که در تبلیغات تلویزیونی و صفحات شبکه‌های اجتماعی منتشر می‌شود، ممکن است شما را به وسوسه اندازد. اما آیا این روش‌ها واقعاً مؤثرند؟ متخصص تغذیه و فیزیولوژی ورزشی درباره این کلاهبرداری‌ها هشدار می‌دهد و تأکید می‌کند که بدن تنها به نظم، تلاش و صداقت پاسخ …
سایت خط سلامت

از چه سنی مراقبت از پوست را شروع کنیم؟ + هشدار متخصصان درباره مراقبت زودهنگام

۹۵ درصد داروهای ضدسرطان در ایران تولید می‌شود / برند خارجی یا تولید ملی؟
سایت سلامت نیوز

۹۵ درصد داروهای ضدسرطان در ایران تولید می‌شود / برند خارجی یا تولید ملی؟

مدیرکل داروی سازمان غذا و دارو از توانمندی بالای تولیدکنندگان داخلی در حوزه درمان سرطان خبر داد و گفت: ۹۵ درصد داروهای ضدسرطان مورد نیاز کشور، توسط شرکت‌های داخلی تولید می‌شود. وی در عین حال، برخی چالش‌های مربوط به تأمین دارو در مراکز درمانی را ناشی از بدهی بیمارستان‌ها و تمایل به داروهای برند خارجی …